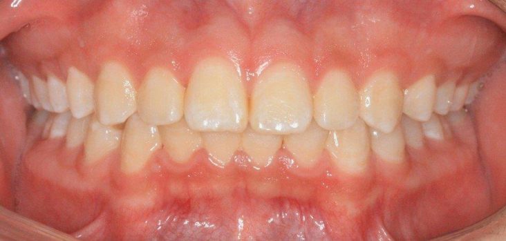
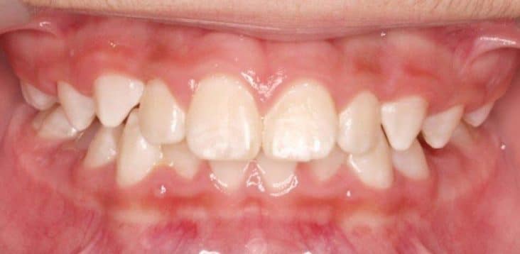
ההחלטה על יישור שיניים הינה מורכבת ורצוי להעביר אותה מההורים, ואף מהרופא השיניים הכללי, אל האורתודונט. רק בדרך זו ניתן יהיה להשיג את התוצאה הרצויה ביותר אסתטית ותפקודית במשך הטיפול הקצר ביותר. כל החלטה ע"י גורם לא מקצועי יכולה להיות שגויה, להקשות ולסבך את הטיפול שלא לצורך. מומלץ ביותר לעבור בדיקה יישור שיניים ראשונית אצל מומחה ליישור שיניים כבר בגיל 8-9 שנים! כאשר ההורים חוששים מבעיה עוד קודם לכן, אפשר להביא את הילד לבדיקה כבר בגיל יותר מוקדם. מגוון ליקויי הסגר המצריכים בדיקה ראשונית הינו רב. בנוסף לכך, ישנן הפרעות תפקודיות המצביעות על בעיות במנשך: קושי בלעיסה, נשימת פה, מציצת אצבע, קליקים או רעשים בלסתות, בהם רצוי להגיע לייעוץ אורתודונטי מהר ככל האפשר.
לפיכך, הצורך בבדיקה מקדימה הוא גורף לכלל הילדים בגיל זה. יחד עם זאת, רב הנבדקים, בהם גם בעלי ליקויי סגר משמעותיים ("שיניים עקומות") לא מטופלים בגיל זה, אלא ממשיכים במעקב רצוף אצל האורתודונט של החלפת השיניים הקבועות, למניעת התפתחות בעיה אורתודונטית או החרפתה. במשך המעקב, מופיעים הילדים לבדיקות חוזרות תקופתיות, לאיתור בעיה בהחלפת השיניים או לביטול הרגלים של מציצת אצבע ודחיפת לשון, כאשר בהרבה מצבים נדרשת עבודת צוות משותפת עם רופא אף- אוזן -גרון וקלינאית התקשורת. רק חלק קטן מהנבדקים (פחות מ-10%) זקוק לטיפול אורתודונטי מיידי קצר, יישור שיניים של שלב ראשון, כבר בגיל 8-9 שנים. עובדה חשובה נוספת היא שבהרבה מצבים יש להתחיל טיפול יישור שיניים לילדים יותר מאוחר, אבל לפני החלפת כל השיניים החלביות. חשוב להדגיש, כי בהרבה מצבים יישור שיניים רק אחרי להחלפת השן האחרונה אינו מומלץ, ויכולה לגרום להיווצרות או להחמרת ליקוי סגר, ואפילו לחוסר האפשרות של שימוש ברסן במקרה של צפיפות או בליטת שיניים. במצבים אלו הטיפול, יהיה מורכב ומסובך יותר, עד כדי עקירת שיניים קבועות!

