יישור שיניים למבוגרים

יישור שיניים למבוגרים – כל השיטות לביצוע יישור שיניים ללא גשר

יישור שיניים למבוגרים מוצלח ניתן לביצוע, בניגוד למה שחושבים, בכל גיל שהוא, ולאו דווקא בילדים ומתבגרים בלבד. אלו שפספסו בגיל ההתבגרות את ההזדמנות ליישר את השיניים יכולים כיום לנשום לרווחה, ולחייך. טיפולי שיניים במבוגרים הם הצעקה האחרונה בתחום הטיפולים האסתטיים, והם הפכו נפוצים מאוד בזכות טכניקות מתקדמות, שמאפשרות להסוות את המכשור המותקן על השיניים, ולהפוך אותו ליישור שיניים שקוף ובלתי נראה.

בשלושים השנים האחרונות עלו בצורה ניכרת הביקוש והיקף הטיפול במבוגרים (גברים מעל 18 שנים ונקבות ונשים מעל גיל 16) העוברים ישור שיניים גם בארץ וגם בעולם. הגורמים לכך רבים וכוללים עליה במודעות לשיניים ישרות ויפות אצל מבוגרים, והבנה שיישור שיניים למבוגרים משפר מאד את החיוך והתפקוד.

פרופ' שמואל עיני מתארח בתוכנית של רפי קרסו ומסביר על תהליך יישור שיניים

להתאמת פגישת ייעוץ בנושא יישור שיניים למבוגרים צרו קשר

    להיות עם ולהרגיש בלי: הטרנד החדש ביישור שיניים

    את יריית הזינוק לתופעת יישור שיניים למבוגרים מייחסים לטום קרוז, הכוכב ההוליוודי הנחשק, ששיחק בכמה סרטים בעודו נמצא בשיאו של טיפול ליישור שיניים. הטרנד החם הפך פופולארי בארצות הברית לפני כעשור, והוא עושה דרכו בצעדי ענק גם לישראל.

    אם עדיין לא יצא לכם להתעדכן במדורי הרכילות אתם תופתעו לדעת, שהשחקנית והבמאית הישראלית נועה קנולר, השחקן יהודה לוי ובוגר תוכנית הריאליטי "האח הגדול" ליאון שניירדרובסקי כבר עשו את זה, ועיטרו בשנים האחרונות את שיניהם במכשור ליישור שיניים במסגרת טיפול אורתודנטיה למבוגרים.

    החסם העיקרי בקרב מבוגרים ששוקלים לעבור יישור שיניים הוא שהמיישרים, הידועים בשמם העממי יותר ריבועים או גשר, יבלטו יתר על המידה בעת דיבור או חיוך, ויעוררו פליאה בקרב אחרים. בכל זאת, המראה של אדם מבוגר שקוביות מודבקות על שיניו הוא עדיין לא מראה שכיח מאוד, ואנשים רבים חוששים מכך שחשיפת שיניים מעוטרות בקוביות תביך אותם באינטראקציות חברתיות.

    מיישרים שקופים ללא סמכים וחוטים, סמכי מתכת פנימיים (שמודבקים על החלק הפנימי של השיניים) וקשתיות שקופות הניתנות לשליפה ("פלטות")- הם דוגמאות בולטות למכשור שנכנס לאחרונה אל תחום טיפולי יישור השיניים, ומאפשר "להיות עם ולהרגיש בלי".

    השיטות לביצוע יישור שיניים למבוגרים

    טכנולוגיות אסתטיות חדשניות שנוספו בשנים האחרונות, בנוסף לטכניקה המסורתית של יישור שיניים ללא גשר למבוגרים באמצעות גשר לשיניים מתכתי, מביאות הרבה מטופלים לטיפול. טכניקות כמו מכשור מודבק בצבע השן מאפשרות מראה אסתטי לשיניים גם במהלך הטיפול.

    • מערכות של מכשור שקוף בנעילה עצמית מודבקות על השיניים ומאפשרות ישור שיניים ללא גשר מתכת, באופן אסתטי מבלי להאריך במשך הטיפול.
    • לאחרונה הופיעה שיטת אינסיגניה (INSIGNIA)- פרי פיתוח מודרני מתקדם של מכשור חיצוני המותאם אישית לפה המתרפא (CUSTEMIZED APPLIANCE). טכנולוגית היי-טק חדשנית מאפשרת יישור שיניים יעיל ביותר באמצעות מכשור המותאם אישית לליקוי הסגר, למבנה ולצורת שיני המטופל.
    • במקביל ניתן לטפל במיכשור הבלתי נראה הנקרא לעיתים "יישור שיניים ללא גשר" הקוסם למתרפאים מבוגרים, שנרתעים פעמים רבות מטיפול אורתודונטי הכרוך בהרכבת מכשירים הבולטים לעין. מכשור זה של קשתיות שקופות או מכשור פנימי, מאפשר טיפול בלתי נראה לחלוטין, וגם הוא בעל דיוק מירבי ומותאם אישית למתאר השיניים הייחודי ולמצב האורתודונטי. הקשתיות השקופות הידועות ביותר הינן קשתיות אינויזליין (INVISALIGN), ובנוסף קיימות גם שיטות שקופות מוצלחות נוספות.
    • טכנולוגית מחשוב תלת ממדית ואמצעי ייצור מדויקים מדמים את תוצאת הטיפול הרצויה לתיקון מרבית ליקויי הסגר. בנוסף ליתרון האסתטי ולטכנולוגיה הייחודית, הקשתיות השקופות מאפשרות ניקוי שיניים ביתר קלות ונוחות רבה יותר על פני המכשור הקונבנציונלי, מכשור הפנימי בלתי נראה חדיש הינו אינקוגניטו (INCOGNITO) ובו סמכים וחוטים המותאמים באופן אישי לשיני המטופל והמיוצרים בעיבוד ממוחשב. בנוסף לפן האסתטי קיים היבט רפואי בלתי מבוטל המצדיק יישור השיניים לשיפור בריאות חניכיים למשל במקרים של צפיפות ומנשך עמוק טראומטי.
    • מגוון האפשרויות של ישור שיניים ללא גשר התרחב משמעותית גם הודות לטכנולוגיה החדשה של שתלים אורתודונטים ההופכות אותו לנוח, מהיר וקל יותר. טיפול זה חוסך בחלק מהמקרים עקירת שיניים קבועות, ולעיתים אף מונע טיפולי שיניים כירורגים מורכבים כמו ניתוח לסת או שתל קבוע.

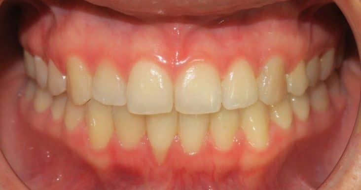
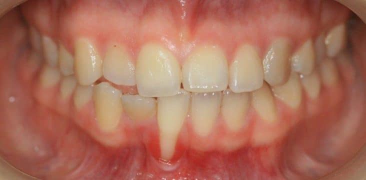
    בן 42, ישור שיניים למבוגרים ללא גשר בקשתיות שקופות לטיפול בבליטת שיניים תחתונות ומנשך הפוך

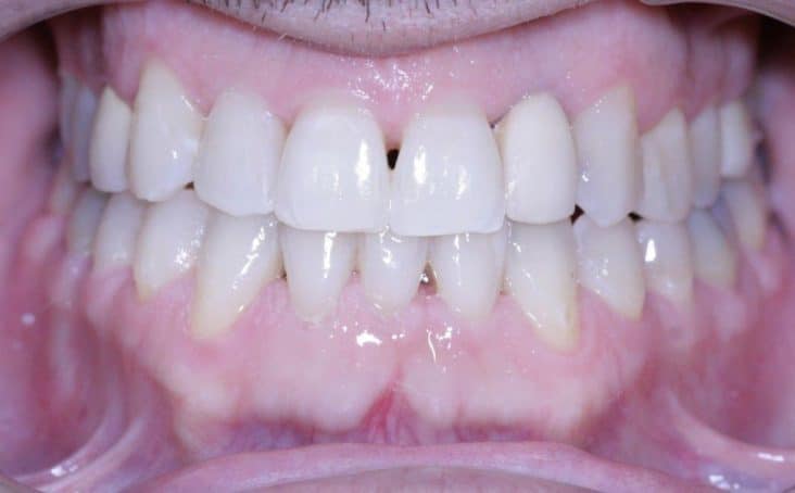
    ‏‏בת 21, יישור שיניים מהיר בקשתיות שקופות (INVISALIGN) לטיפול בנסיגת חניכיים בשיניים קדמיות

    בנוסף, ישור שיניים למבוגרים יכול להיות חלק מטיפול שיניים כללי (עזר לשיקום), כאשר המומחה ליישור שיניים מסייע לטיפול שיקומי כהכנה לכתר עתידי. יישור השיניים זה הינו מבוקש ביותר כי הוא מונע עקירת שן או ביצוע כתר לא מוצלח.

    • יש לציין פריצת דרך משמעותית מבחינה ביולוגית, שהביאה להתפתחות שיטות של טיפול יישור שיניים מקוצר כמו ווילקודנטיקס, המאפשרת קיצור משמעותי במשך הטיפול למשך 6-8 חודשים בלבד הודות לשילוב של פרוצדורה כירורגית בחניכיים עם יישור שיניים יעיל. התוצאה הסופית המתקבלת היא חיוך מקסים ושיניים ישרות הנשמרות כך לאורך זמן עם חניכיים בריאות ומטופל שבע רצון ביותר.

    כך תפיקו את המירב מהטיפול האורתודנטי:

    1. התחילו את הטיפול רק לאחר שווידאתם כי השיניים שלכם נמצאות במצב אופטימלי והן בריאות מבחינה רפואית. חורים בשיניים, שיניים המצריכות עקירה, ניקוי שיניים או טיפול שורש- את כל הפעולות הללו מומלץ לבצע לפני שאתם מתחילים את הטיפול.

    2. המכשור בו נעשה שימוש ליישור השיניים הוא כר פורה להיווצרות פלאק, שאריות מזון וכתמים על השיניים, שבתורם יכולים להוביל לנזקים כמו חורים או דלקות חניכיים. לפיכך, יש להקפיד לנקות את השיניים בתדירות גבוהה יותר מהרגיל באמצעות חוט דנטלי ועל-ידי צחצוח שיניים קפדני ולא "חאפרי".

    3. רצוי להימנע מצריכה של מזונות קשים לנגיסה או דביקים מידי, מאחר והם עלולים להזיק למכשור שמותקן על השיניים. שמרו את סוכריות הטופי, את קלחי התירס ואת תפוחי העץ לתקופה של "אחרי", כדי שלא תצטרכו לרוץ אל מיישר השיניים כאשר הגשר בשיניים יישבר הוא כאשר החוטים שמחוברים אליו ישתחררו.

    4. טיפול ליישור שיניים הוא זמן טוב להתחיל להשתמש בשטיפת פה המכילה אמין פלואוריד, שמאפשרת לשמור על השיניים ולהגן עליהן טוב יותר.

    5. אם אתם עוסקים בפעילות ספורטיבית, שמתאפיינת בפוטנציאל פגיעה גבוה של אזור הפה (כמו אגרוף) יש להרכיב מגן פה מיוחד, שמיועד לספורטאים שעוברים טיפול אורתודנטי, ושמטרתו לשמור על השיניים ועל רקמות הפה.

    Call Now Button