שן כלואה היא שן שלא בקעה בעיתוי הנכון אל חלל הפה, ועלולה לגרום נזק לשיניים הסמוכות, לקושי תפקודי (קשיים בנגיסה ובלעיסה) ולהפרעה אסתטית. הבקיעה הטבעית של השיניים הקבועות מתחילה בגיל 6-7 בממוצע. לעתים חולף מועד הבקיעה ושן מסוימת נותרת כלואה בלסת – ולא בוקעת אל חלל הפה.
מה הם הגורמים לשיניים כלואות? הגורמים לשיניים כלואות מגוונים – וכוללים עמדה לא טובה של השן, או מחסום כלשהו במסלול הבקיעה שלה (כמו שיניים עודפות או שיניים חלביות שלא נשרו בזמן), המפריע לשן להתקדם ולצמוח לכיוון חלל הפה. קיימות גם נטיות משפחתיות וגנטיות. גם מצבים פתולוגים כמו מורסות וציסטות גורמים לשיניים כלואות. זוהי תופעה נפוצה העלולה להתרחש בכל אחת מהשיניים הקבועות, כולל בשיני הבינה שהן השיניים האחרונות לבקוע.

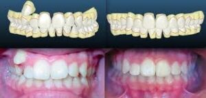
איך מטפלים בשיניים כלואות אצל ילדים? שיניים אלו חלף מועד בקיעתן ונראה כי שלא יבקעו תוך זמן סביר, יש לבצע טיפול אורתודונטי ("גשר לשיניים"). בהתחלת הטיפול מפנים מקום לשן הכלואה, כך שיהיה לה לאן לבקוע. פעמים רבות, תופסות השיניים הסמוכות את מקומה של השן הכלואה, שהתעכבה לבקוע. פינוי המקום עשוי לכלול גם עקירה וסילוק של שן עודפת. לעיתים, פינוי המקום מספיק, אבל על פי רוב נדרשת גם "משיכה" של השן מהלסת אל קשת השיניים. לשם כך, מבוצעת חשיפה כירורגית בחניכיים, והשן הכלואה נחשפת – ומודבק התקן הפועל למשיכתה אל קשת השיניים, תוך סידור שלה ושל השיניים הסמוכות וקבלת קשת אסתטית. משך הטיפול תלוי בנסיבות מגוונות – בשן הכלואה, מיקומה, מאפייניה, במורכבות הטיפול ועוד. משך הטיפול נע בין שנה לבין שלוש שנים.
יישור שיניים לילדים – לחצו כאן לקריאה בנושא!
באיזה גיל יש לטפל בשיניים כלואות? בכל גיל. חשוב לאבחן שן כלואה בהקדם האפשרי, ולא לדחות את הטיפול. הזנחה של המצב, תוך התעלמות מנוכחות שיניים כלואות בלסת, עלולה לפגוע בבריאות הפה ולהתפתחות של דלקות, ציסטות ואפילו גידולים, ובנוסף להשפיע לרעה על בריאותן של השיניים הסמוכות לשן הכלואה ולספיגתן של שיניים בריאות. כמו כן, עם העליה בגיל, למשל בניבים כלואים מעבר לגיל 30, סיכויי ההצלחה בטיפול בשיניים כלואות יורד משמעותית.
לסיכום: שיניים כלואות הן שיניים שלא בוקעות ונותרות בלסת, בשל עמדה לא טובה שלהן, או מחסומים הקיימים במסלול הבקיעה והצמיחה שלהן. חשוב להקדים ולטפל בשיניים כלואות, כדי למנוע תחלואה (דלקות, ציסטות או גידולים) ופגיעה בשיניים סמוכות. יישור שיניים בשיניים כלואות כולל בדרך כלל את הזזת או עקירת שיניים סמוכות, חשיפת השן הכלואה ומשיכתה לחלל הפה. חשוב מאד שהטיפול יבוצע על ידי מומחה לאורתודונטיה, בעל הידע והניסיון שיאפשרו לו להעניק למטופל את הטיפול המיטבי.
נכתב על ידי:
פרופ' שמואל עיני בוגר הפקולטה (בהצטיינות) לרפואת שיניים בבית החולים הדסה ירושלים משנת 1983. בוגר תוכנית ההתמחות באורתודונטיה בפקולטה לרפואת שיניים בבית החולים הדסה ירושלים ובעל תואר מוסמך במדעי רפואת השיניים (בהצטיינות) משנת 1994. כיום משמש כמנהל המחלקה ליישור שיניים במרכז הרפאי לגליל, נהריה. לשעבר יו”ר האגודה האורתודונטית בישראל, ויו”ר לשעבר של ועדת הבחינות של הועדה המקצועית לאורתודונטיה מטעם משרד הבריאות. בתפקידיו הקודמים היה מנהל ההתמחות ליישור שיניים בביה”ס ללימודי המשך בבי”ח רמב”ם בחיפה ומנהל המחלקה ליישור שיניים בבי”ח תל השומר.







